矯正中のゴムって大事?何で必要なの?|東灘区の歯医者|にしうみ歯科・矯正歯科|深江駅徒歩1分

兵庫県神戸市東灘区深江北町4丁目8-19
ドルフ深江スタツィオ101
078-451-8283
ヘッダー画像

歯科コラム

矯正中のゴムって大事?何で必要なの?|東灘区の歯医者|にしうみ歯科・矯正歯科|深江駅徒歩1分

矯正中のゴムって大事?何で必要なの?

結論から言いますと、矯正中のゴムは非常に重要です!

矯正中の歯にかけるゴムには、1本の歯にかけるゴムや、歯とマウスピースをつなぐゴム、上下の前歯と奥歯をつなぐゴムと様々な用途で使用されます。これらは全てマウスピースのみでは難しい歯の移動を補助しているゴムです。

矯正用のゴムは、小さな医療用のゴムであり、歯を動かしたり、かみ合わせを調整するための補助装置として使用されています。

ゴムの使用時間は原則マウスピースの使用時間と同じ時間の装着が必要です。

顎間ゴム

顎間ゴムは、「エラスティックゴム」や「ゴム掛け」とも呼ばれています。顎間ゴムは、上と下のかみ合わせを調整したり、前歯を引っ込めたりする時などに使用され、上顎前突(出っ歯)や下顎前突(受け口)、開咬などのさまざまな歯並びやかみ合わせで使用されています。
そして、歯並びやかみ合わせの状態によってゴムの掛ける位置やゴムの種類も変わります。矯正力はゴムの太さやリングの直径で異なります。しかし、歯並びやかみ合わせによって顎間ゴムを使用しない方もいますが、顎間ゴムを使用している方は多くいます。
顎間ゴムは、ワイヤー矯正治療やマウスピース型矯正治療(インビザライン)でも使用されます。

顎間(がっかん)ゴムの種類

顎間ゴムは、Ⅱ級ゴム・Ⅲ級ゴム・垂直(すいちょく)ゴム・交叉(こうさ)ゴムなどがあります。

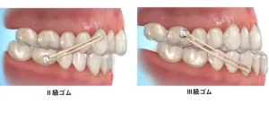
Ⅱ級ゴム:上顎前突(出っ歯)症例に用い、上の犬歯部付近から下の大臼歯部(奥歯)付近に掛けることが多く、上の前歯を後方に引くよう歯を動かします。

Ⅲ級ゴム:下顎前突(受け口)症例に用い、下の犬歯部付近から上の大臼歯部(奥歯)付近に掛けることが多く、下の歯を後方に引くよう歯を動かします。

垂直ゴム:開咬(かいこう)(オープンバイト)という奥歯は咬み合っているが前歯が咬み合っていない症例や上下の歯のかみ合わせが咬み合っていない症例に用い、上と下に垂直に掛けて咬み合わせの緊密化をはかります。トライアングルのように三角形でゴムを引っ掛けることもあります。

交叉(こうさ)ゴム:交叉咬合(こうさこうごう)という上下の歯の咬み合わせが左右にずれている症例に用い、上と下の歯の表側と裏側で咬合面を越えてクロスになるように掛けます。

使用時間

顎間ゴムは、長時間装着することがとても重要であり、食事と歯磨きの時以外は毎日必ず装着してください。使用する時間が少ないと歯は動かず、力の反作用で歯が後戻りしてしまいます。使用する時間が少なく、患者様のご協力度が低い場合は矯正治療期間が長引いてしまうことがありますので、必ず主治医の指示に従って行うようにお願いいたします。

交換頻度

1日1回は新しいゴムに交換してください。
同じゴムを使い続けると、ゴムが劣化し、伸びたり、切れてしまうことがあります。そのため、矯正力が半減し効力がなくなるため、毎日1日1回は新しいゴムに交換するようにしてください。
また、外したゴムを再度つけることに抵抗がある場合は、毎食後新しいゴムに交換していただいても大丈夫です。

ゴムの掛け方

マウスピース型矯正治療(インビザライン)でのゴム掛け

インビザライン矯正治療の方は、プレジションカットというアライナーに切り込みが入っている部分にゴムを引っ掛けたり、歯に直接ボタンを装着しボタンにゴムを掛ける方法があります。

Ⅱ級ゴムやⅢ級ゴムの場合は、後方から前方に掛けていただくと掛けやすいです。
奥歯は見にくく、頬を引っ張らないと見えない場合が多いため、後方から前方に掛けるのが比較的掛けやすいです。指でも掛けることはできますが、指では困難な方は“エラスティックホルダー”というゴムを掛ける専用の道具を使用していただきます。先端にゴムを引っ掛ける部分があるのでそこにゴムを引っ掛けてゴムを掛けていただきます。

ただし、ゴムを掛ける際は大きなお口を開けるとゴムの掛ける距離が長くなり、突然ゴムが外れることがあります。そして、ゴムが掛かった状態で大きなお口を開けると顎に負担がかかるため、なるべく大きなお口を開けないよう注意してください。
もし、ゴム掛けで顎関節が痛い、音が鳴るといった症状が出た場合は、すぐに当院へご連絡をお願いいたします。また、ゴムが頬(ほほ)の内側にこすれて口内炎になることがあります。通常の口内炎の対処法として透明に近いワックスをお渡ししていますが、ゴムにワックスを付けるのは難しいため、この場合も当院へご連絡をお願いいたします。

初めてゴムを掛ける方やゴムを掛ける位置が変わった場合、当院では必ずゴムを掛ける練習を行いますのでご安心ください。最初は鏡を見ながらゴム掛けを行いますが、慣れると鏡無しでゴムを掛けられるようになります。ゴム掛けは、ゴムの掛ける場所・ゴムの種類・ゴムの掛ける時間を主治医の指示に必ず従うようにお願いいたします。治療時に新しいゴムをお渡ししていますが、次の診療日までに使い切ってしまった場合は、当院にご連絡をお願いいたします。受付でご用意しておきます。
ゴムを掛けると見た目が気になったり、話しづらかったり、掛けるのが面倒くさくなったりします。しかし、ゴム掛けは矯正治療を進めていくうえで重要な役割であり、ゴムを長時間掛けていただくことによって矯正治療の成功に近づきます。そのためには患者様のご協力が必要になります。

ゴム掛けについてご不明点やご相談がありましたら、来院の際スタッフにお気軽にお申し付けください。

PageTop